心脏瓣膜病
病因流行
风湿热多累计二尖瓣,其次是二狭合并主闭。单纯主闭很少见
房颤(P188)常发生于原有心血管疾病者,最常见于风心病二尖瓣狭窄(B对)。
真好,风心病二狭和房颤是双向奔赴。
房颤最常见于的瓣膜病是二尖瓣狭窄,
二尖瓣狭窄最常见的心律失常是房颤。
内科晕厥考虑:主动脉瓣狭窄、肥厚型心肌病、三度房室传导阻滞
当剧烈运动或变换体位时,心脏收缩加强,肥厚的室间隔接近二尖瓣前叶,使左室流出道梗阻加重,血流减少,诱发晕厥。
在欧美等发达国家,慢性二尖瓣关闭不全的最常见病因是二尖瓣黏液样变性(C对);欧美高脂肪饮食,故二尖瓣粘液样变性
而在我国,慢性二尖瓣关闭不全的最常见病因是风湿性心脏病(A错),约占1/3。过去我国是风心病,现在是腱索断裂 #?
机制原理
- 支气管扩张症:咯血:支气管动脉破裂
- 结核大咯血-支气管动脉破裂或空洞血管瘤破裂
- 风湿性二尖瓣狭窄:大咯血:支气管静脉破裂出血
- 痰中带血或血痰:与肺毛细血管破裂有关
- 粉红色泡沫样痰:由毛细血管破裂所致(第九版内科学287)
心的问题是静脉,肺的问题是动脉
个人理解,向心是静脉,离心是动脉,肺静脉里心脏比较近,心脏有问题静脉先受影响,动脉先入肺,肺有问题动脉先受影响
肺没有侧枝的建立——早期
没有体循环瘀血——右心功能尚佳
肺血管病变—看有无侧枝循环建立
①早期: 无—表现为肺毛细血管破裂—粉红色泡沫样痰
②晚期:有—表现为支气管静脉破裂—大咯血
右心功能—看有无一系列右心衰表现
无则尚佳
对比记忆
二狭大咯血—支气管静脉。左心房压力突然增高,肺静脉压增高,支气管静脉破裂出血所致
支扩大咯血—支气管动脉,支扩大咯血是支气管小动脉,不是肺小动脉
你这个写的太复杂了 凡是大量咳血都跟大血管有关 小量咳血都是毛细血管通透性增加或者破裂 只有和左心有关的,比如肺淤血还有二尖瓣狭窄涉及到了肺水肿,这些才是肺静脉,其他大咳血都是肺动脉
- 支气管静脉系统:属于 “肺的营养血管”,不参与气体交换,主要引流支气管壁、肺间质的静脉血,最终通过两条路径回流:
- 大部分汇入 “奇静脉 / 半奇静脉”,再进入右心房(属于体循环);
- 小部分直接汇入肺静脉(与肺循环存在 “交通支”)。
关键特点是:支气管静脉的管壁较薄、弹性差(远不如体循环的静脉壁坚韧),且其回流路径中 “无有效的压力缓冲结构”,对肺循环压力升高的 “耐受性极低”—— 当肺静脉压力升高时,支气管静脉成为肺循环压力 “向外传导的薄弱点”。
肺间质静脉淤血→支气管静脉压力骤升
如前所述,支气管静脉与肺静脉存在 “交通支”,且部分直接汇入肺静脉;同时,支气管静脉还引流肺间质的淤血 —— 当肺间质静脉淤血时,大量血液会 “分流” 至支气管静脉,导致支气管静脉内的血流量和压力 “双重升高”,血管壁被持续牵拉、扩张。
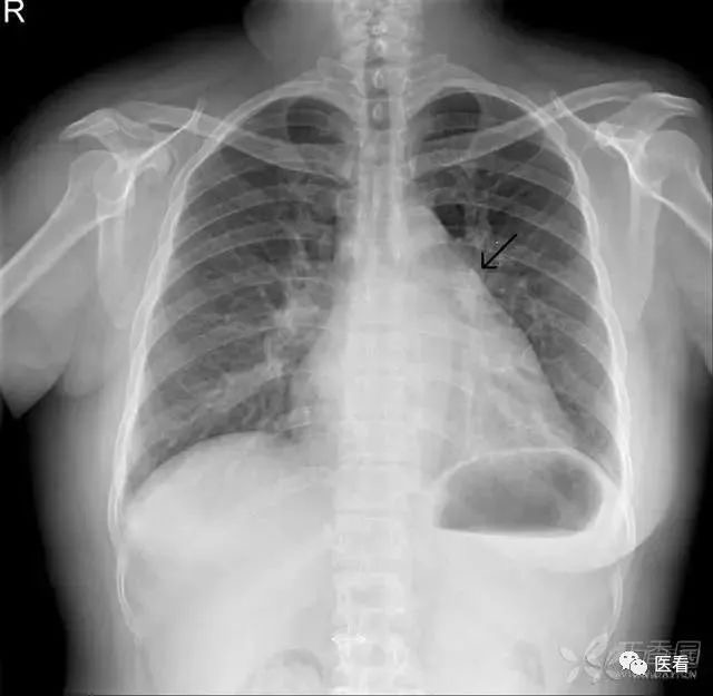
又称二尖瓣型心。肺动脉段凸出及心尖上翘,主动脉结节缩小或正常,状如梨形。多见于右心负荷或以其为主的心腔变化。常见疾病有二尖瓣病变、房间隔缺损、肺动脉瓣狭窄、肺动脉高压和肺心病等。
梨形心,左房、右室扩大,肺动脉段突出(箭头示),肺纹理增粗。

Graham-steel杂音(A错)又称格斯杂音,是由于肺动脉高压导致肺动脉扩张,进而引起相对性肺动脉瓣关闭不全,在肺动脉瓣区(胸骨左缘第二肋间)产生的舒张期杂音。其核心机制为肺动脉扩张引起的功能性瓣膜关闭不全,而非器质性病变。
梨形心(C错)指肺动脉段凸出及心尖上翘,主动脉结节缩小或正常,心脏状如梨形。多见于右心负荷或以其为主的心腔变化。常见疾病有二尖瓣病变、肺动脉瓣狭窄、肺动脉高压和肺心病等;
主闭→相对二狭→AF杂音。
二狭→相对肺闭→GS杂音
稍微修改一下:
①主闭(反流回左心室血液增多,二尖瓣漂浮)→相对二狭→AF杂音。我是这么记的 (A)是动脉(主动脉)(F)是(off关闭)加在一起A- F杂音就是主动脉关闭不全
②二狭(左心房压力增高,肺淤血,肺动脉压力增高,即肺动脉高压)→相对肺闭→GS杂音
患者中年男性,有呼吸困难和水肿症状,查体:颈静脉怒张,肝大伴压痛,双下肢压陷性水肿,考虑诊断为二尖瓣狭窄伴右心衰竭。
二尖瓣狭窄时,如瓣叶柔顺有弹性,多可闻及心尖部第一心音增强(B对),呈拍击性(E对),并可闻及开瓣音。
当出现肺动脉高压时,肺动脉瓣区第二心音增强(C对)并出现通常分裂(D对)。
二尖瓣狭窄时心尖部可闻及第一心音增强,而不是第二心音增强(A错,为本题正确答案),第二心音一般在心底部听诊最清楚。
第一心音是二尖瓣和三尖瓣产生。
第二心音是肺动脉瓣和主动脉瓣产生。
第三心音是心室壁抖动产生。
第四心音是心房壁抖动产生。
第一心音由房室瓣和心肌收缩振动产生,可反映心室收缩强弱和房室瓣膜的机能状态,心室收缩力愈强,第一心音愈响。
第二心音由半月瓣关闭产生的振动造成,其强弱可反映主动脉压和肺动脉压的高低,动脉压升高,则第二心音亢进
第二心音由主A脉和肺动脉瓣的关瓣时震动所致(主动脉关瓣在前,肺动脉瓣关瓣在后,但正常情况下人耳无法辨别出两者的先后顺序),音量以主动脉关瓣音为主;其受到后负荷影响,二狭会使心输出量下降,后负荷下降,主动脉瓣关瓣音减弱,所以S2会减弱。
是这样的,P2因为肺动脉高压增强了,A2因为左心搏出量减少减弱了,这是还会出现通常分裂,所以题目严格来说是A2减弱
第二心音不会增强,因为有右心衰竭的表现就说明搏出量不足,搏出的血少了血液对瓣膜的压力就少了瓣膜关闭的声音不会增强。不知道我的分析对不对,供大家参考。
二尖瓣狭窄时,因风湿热等病因,二尖瓣瓣叶增厚、粘连、纤维化,导致瓣叶弹性减退、活动僵硬,但瓣叶仍保持一定的完整性(未出现严重钙化或脱垂)。同时,由于左心房长期压力升高(血液排出受阻),左心房扩大,会牵拉二尖瓣瓣叶,使其在心室舒张期更充分地前向展开(瓣叶开放幅度相对较大) 。当心室进入收缩期时,左心室内压力迅速上升,需 “快速克服左心房与左心室的压力差”,促使原本前向展开的僵硬瓣叶突然、快速地向关闭位置运动,关闭瞬间的 “冲击力度” 和 “振动幅度” 显著大于正常瓣叶,因此 S₁增强,听诊时表现为 “高调、清脆的拍击样声音”(称为 “拍击性第一心音”)
- 二尖瓣瓣叶严重钙化、僵硬:瓣叶完全失去活动能力,无法前向展开,关闭时振动幅度显著降低;
- 合并二尖瓣关闭不全:瓣叶关闭不紧密,部分血液反流回左心房,分散关闭瞬间的能量,S₁强度减弱;
- 左心室收缩功能减退:左心室内压力上升缓慢,瓣叶关闭速度减慢,振动能量降低。
二尖瓣瓣叶的 “前向移动” 不依赖 “左心室血液量”,而依赖 “左心房压力与瓣叶形态”
运动幅度:“充分前向展开的瓣叶”(因为左心房压力大)+“快速压力反转”(因为左心室前负荷低且收缩力不受影响),导致关闭幅度反而增大
患者中年男性,风湿性心脏病(二尖瓣狭窄的主要病因)10余年,查体:双侧颊部皮肤呈紫红色(提示“二尖瓣面容”),心界向左扩大,心腰膨隆(提示梨形心),心率96次/分,心尖部可闻及开瓣音(提示瓣膜弹性尚好)及舒张期隆隆样杂音(二尖瓣狭窄特征性杂音),综合患者病史、体检,本患者考虑诊断为风湿性心脏病伴二尖瓣狭窄。
二尖瓣狭窄患者可引起肺动脉高压,当出现严重肺动脉高压时,由于肺动脉及其瓣环的扩张,导致相对性肺动脉瓣关闭不全,此时可在肺动脉瓣区(胸骨左缘第二肋间)闻及高调叹气样舒张早期杂音。因此该患者查体还可能发现的其它阳性体征是肺动脉瓣区舒张早期杂音(A对)。
胸骨左缘3肋间(主动脉第二听诊区)收缩期杂音(B错)为主动脉瓣狭窄的听诊特点。
二尖瓣狭窄患者若瓣叶柔顺有弹性,在心尖部可闻及第一心音增强(D错);
当出现肺动脉高压时,第二心音肺动脉部分增强(C错)和出现通常分裂(九版诊断学P151),而不是逆分裂(E错),逆分裂常见于完全性左束支传导阻滞(九版诊断学P151)。
二尖瓣关闭不全的典型体征是心尖部粗糙的收缩期杂音(A对),杂音强度>3/6级,可伴有收缩期震颤。二尖瓣关闭不全的典型表现是心尖部全收缩期吹风样杂音(C对)。二尖瓣关闭不全时,心室舒张期过度充盈使二尖瓣漂浮第一心音减弱 #? ,即S₁减弱(B错),A₂﹤P₂(D错)。二尖瓣关闭不全多伴有左心房和左心室增大 #? ,一般无右心房增大(A错)和右心室增大(E错)。
- 二尖瓣脱垂:喀喇音;
- 腱索断裂:海鸥鸣
- 症状缓解杂音消失—考虑乳头肌功能不全。三级是即可以功能性又可以器质性病变,所以小老头就爱出三级。这道题谈谈我的看法吧,我觉得是心绞痛引起乳头肌短暂缺血引起功能失调。
- 可闻及喀喇音—腱索断裂
- 可闻及喀喇音,时有时无—考虑乳头肌功能不全
心尖部 #Austin-Flint杂音 (P299)(B错)是指心尖区柔和低调的隆隆样舒张期杂音,主要是由于主动脉瓣反流,左心室血容量增多及舒张期压力增高,将二尖瓣前侧叶推起处于较高位置而引起相对二尖瓣狭窄所致。多见于主动脉瓣关闭不全。
心尖部S₁亢进(C错)和心界呈梨形(E错)常在二尖瓣狭窄时出现。
A₂增强(D错)常见于高血压、动脉粥样硬化(九版诊断学P151)。

Austin-Flint:中重度主动脉瓣关闭不全导致的相对二尖瓣闭合不全
Graham-Stell杂音常见于二尖瓣狭窄导致的相对肺动脉闭合不全


二尖瓣前叶关闭不全:左腋下或左肩胛下
二尖瓣后叶关闭不全:胸骨左缘和心底
主动脉瓣关闭不全:胸骨左缘和心尖
主动脉狭窄:颈部和锁骨上窝
主狭,第一听诊区。
主闭,第二听诊区
主动脉狭窄听右二
主动脉关闭不全听左三
不只是这里,就算是正常听诊主动脉,收缩期第一听诊区肯定都要比第二听诊区明显,舒张期第二听诊区比第一听诊区明显
我的理解是。收缩起时左心室的压力很大,射出去的血撞击主动脉产生的声音强所以是右侧,舒张期时因主不全导致返流的血液撞击左心室从而 左侧,个人理解。不喜勿碰!
改成这样:
二狭~梨型心(因为血液积在左心房)
二闭~球型心(因为左心房、左心室血都多了)
主闭~靴形心(左心室增大,像鞋尖凸出去)
心包积液~烧瓶心(水沉积在底部,像烧瓶口小底大)
扩张性心肌病~普大型心(扩不就大吗?)
肺心病~心尖上翘(因为右心增大了,就把左边翘上去了)
二狭 舒张期隆隆样杂音 左房大 梨形 G-S杂音
二闭 收缩期吹风样杂音 左室大 球形
主闭 舒张期叹气样杂音 左室大 靴形 A-S杂音
主狭 收缩期喷射样杂音 左室大 心绞痛细迟脉s2逆分裂
心包积液 烧瓶
扩心病 普大型
临床表现
又称二尖瓣型心。肺动脉段凸出及心尖上翘,主动脉结节缩小或正常,状如梨形。多见于右心负荷或以其为主的心腔变化。常见疾病有二尖瓣病变、房间隔缺损、肺动脉瓣狭窄、肺动脉高压和肺心病等。
梨形心,左房、右室扩大,肺动脉段突出(箭头示),肺纹理增粗。
⚠️upload failed, check dev console

#二尖瓣脱垂 (C对)是指二尖瓣瓣叶在心脏收缩时向左心房脱垂,导致二尖瓣关闭不全,收缩中期时可在心尖部闻及喀喇音,为二尖瓣脱入左心房,瓣叶突然紧张或腱索的突然拉紧产生震动所致。随后出现收缩中晚期吹风样杂音,为二尖瓣关闭不全所致。
冠心病劳力性心绞痛(A错)由于心肌缺血可导致二尖瓣关闭不全;
扩张型心肌病(D错)由于心室腔扩大而导致相对性二尖瓣关闭不全;
乳头肌功能不全(E错)也可导致二尖瓣关闭不全;
这三种情况加上风心病二尖瓣关闭不全(B错)都可于心尖部闻及心尖部收缩期杂音,但不会出现收缩中期附加音。
附加音就是喀喇音
心绞痛 晕厥 呼吸困难是主动脉狭窄的三联征
主狭,血出不去,供应脑的也相对减少→头晕黑蒙晕厥
慢性二尖瓣关闭不全时,心尖搏动呈抬举样(A对),并向左下移位。
急性二尖瓣严重关闭不全时(如腱索、乳头肌断裂)很快发生急性左心衰,甚至出现急性肺水肿(B错,为本题正确答案)或心源性休克;
慢性二尖瓣关闭不全时左心房顺应性增加,左心房扩大和左心室于较长时间内适应容量负荷的增加,使左心房压和左心室舒张末压上升不明显,故在相当长时期内不出现肺淤血且无临床症状。
急性二闭:左心室不扩大,急性肺水肿。
慢性二闭:左心室扩大,左心房也扩大。
心尖抬举样搏动的机制
慢性二闭:左心室逐渐代偿性扩张和肥厚,心尖搏动多为弥散性、持续性抬举。
急性二闭:左心室未发生长期代偿,但因急性容量超负荷和交感兴奋,心尖搏动表现为短暂、有力的抬举样搏动,触诊时可感知到“冲击感”。
诊断方法
#二尖瓣狭窄分级 #?
二尖瓣口面积正常4-6cm²。
正好
正常主动脉瓣口 3-4,二尖瓣 4-6
中度 主动脉 1-1.5,二尖瓣 1.6-2.5
二尖瓣
轻度>2.5
中度1.6-2.5
重度<1.6
正常主动脉瓣口面积3~4c㎡。
1.5~2.0cm2 轻度
1.0~1,5cm2 中度
≤1.0 cm2 重度
注意主狭的重度是≤,而不是<
#主动脉狭窄分级
10版⚠️ 主狭 十版手术指征改为大于60mmHg
重度>= 40mmHg,<1.0c㎡,> = 4m/s
中度25-39 mmHg,1.0-1.5c㎡,3-3.9m/s
轻度<25 mmHg。1.5-2 c㎡, <3m/s
我们就记住中度临界值,另外两个就好记了
平均压力阶差25-40
瓣膜口面积1.0-1.5
射流速度3-4
用到M型超声辅助诊断的,认知里只有二狭。所以看到M型超声就选二狭。
二狭:超声心动图呈城墙样改变
我记得二狭M型超声心动图可见瓣膜城墙样改变,二闭M型超声看不出来,要用脉冲式或者多普勒能看出反流。
Rv1+SV5大 右室肥厚
SV1+RV5大 左室肥厚
看R 在V1是在右边 V5在左边
心腰饱满=肺动脉突出=二尖瓣狭窄
主动脉型心 心腰凹陷,比如靴型心
二尖瓣型心 心腰隆起
简单的说就是心腰是看左房,
心腰膨隆说明左房增大;
心腰凹陷说明左房不大,左室增大显得左房变小了
心腰部是主动脉结与左心室段之间的心影边缘,表现为一个弧形区域。
心腰部在心脏诊断中具有重要意义,其形态和大小的变化可以反映心脏的病理状态。例如,心腰部膨凸可能提示左心房增大,常见于二尖瓣狭窄;而心腰部凹陷明显则可能提示左心室增大,常见于主动脉瓣关闭不全。
鉴别诊断
本题解析存在严重的原则性错误(本图中划红线部分)。本病例正确诊断应该为主狭合并主闭,伴功能性二狭。:
解析对于该病例解析给出的分析是二狭合并主狭,那么
1.舒张期左室血少应当是由二尖瓣狭窄引起的,而不是解析所说的主动脉瓣狭窄
2.左室血少确实会导致舒张压降低,但是由于收缩压反映泵血能力,舒张压反映外周阻力,因此左室血射血减少会导致收缩压下降得比舒张压更厉害,此时脉压差(收缩压-舒张压)应该减小,而不是如解析写的增大。
3.如果真的是二狭,那么B、C、E选项用“并不是二狭患者的最典型表现”来解释显得过于牵强,因为这些都是二狭患者非常经典的特征
本病例正确诊断应为:主狭合并主闭,伴功能性二狭。理由如下:
1.本病例中胸骨左缘喷射性杂音确实提示主狭,原解析这一点写的没问题
2.心尖部柔和的舒张早期杂音,柔和样杂音提示该杂音<3/6级,属于功能性杂音而非器质性杂音。在主闭时由于左室血多导致二尖瓣相对漂浮开口减小,从而导致二尖瓣相对狭窄,故于舒张早期产生Austin-Flint杂音,此为功能性杂音,与题干“柔和的舒张早期杂音”符合。
3.因此此病例正确诊断为“主狭合并主闭,伴有功能性二狭”。此时B.C.E选项就完全错误,可以完全排除。而主闭会引起脉压差增大,A选项完全正确。
希望审核老师认真看完,纠正错误解析。
并发症
二狭→肺毛细血管高压→肺间质水肿→呼吸困难,咳嗽,咯血,KerleyB线
#KerleyB线 :肺间质水肿,小叶间隔增厚,在肺下野外侧的水平短线壮阴影
主闭易为室性心律失常,
主狭,二狭,二闭均为房颤
主动脉关闭不全并发症感染性心内膜炎。其余三个房颤。?二狭易合并房颤,常用洋地黄类药物治疗。
急性下壁心梗常见房室传导阻滞,
急性前壁心梗常见室性心动过速。
狭窄处流速快,细菌不容易停留
缺损或关闭不全涡流处细菌易停留,亚急性感染性心内膜炎多见于二闭,三闭,主闭动脉导管未闭和室缺,多是漩涡形成赘生物。
二狭并发症:最常见 房颤
最致命 心脏(右心衰)
最危险 脑栓塞
最少见 感染性心内膜炎
治疗
🌳狭不扩,闭不缩
🌱狭窄射血量减少,扩血管→低血压和休克
🌱关闭不全血液反流,心室内血液增加,缩血管→血压升高→加重后负荷射血更困难引起心衰
我大概是这么理解的,所谓狭不扩,就是二尖瓣狭窄,不要用扩张小血管的药💊。 因为,舒张期的时候,因为二尖瓣狭窄,进入心室的血液少了,导致,射出去的血也少了。血液不够供给全身器官使用。这时候机体要保证心脑重要器官的供血,就会收缩周围小血管,如果此时用了扩张血管的药,就会使得回心血量不足,导致重要器官缺氧。 闭不缩,同理。如果你二尖瓣关闭不全,也就相当于舒张期结束后,心室的头顶有一个口子。收缩期的时候会把一部分血液射到心房。一部分射到主动脉,同样也会导致供血不足且加重左心室的前负荷,加重心房负担。如果此时你缩血管,进一步增加回心血量,会导致心房负荷,和心室前负荷增加。
第九版上的主动脉狭窄是明确禁用acei药物的,包括并发心衰,但第十版上主狭并发心衰是可以用acei的
这个题是因为患者咳嗦啊,你再刺激干咳人会受不了的
ACEI是不是抑制angII的生成,还能间接促进缓激肽生成,所以会有扩血管的作用?然后狭不扩,闭不缩?😭😭😭而且他老人家还有肺部或者呼吸道感染,可能不能耐受ACEl干咳的副作用,换成ARB应该比较好🫣🫣🫣
二尖瓣狭窄 心衰控制稳定后4周 择期手术
脑子两周
心衰四周
心梗半年
有开瓣音 二尖瓣还有弹性 球囊成形术
无开瓣音 二尖瓣钙化僵硬 瓣膜置换术
单纯二尖瓣狭窄 选择瓣膜成形术
合并二尖瓣关闭不全 只能瓣膜置换
🐾二狭:
◎首选:经皮球囊二尖瓣成形术
◎无开瓣音、或左心房附壁血栓:直视式二尖瓣分离术
◎二狭合并中重度二闭:人工瓣膜置换术
(记忆“成分置换”)
🐾主狭:无症状者可暂不处理,密切随访(C错)。
◎成人:人工瓣膜置换术
◎儿童、青少年的非钙化性先天性:直视下主动脉瓣分离术
◎不耐受手术:经皮球囊主动脉瓣成形术
(与二狭正好相反)